
Gum Disease Treatment
Gum disease treatment utilizes a variety of procedures to reduce bacteria and infection, preserving the health and function of your smile. Dr. John W. Starr of Golden Triangle Periodontal Center in Columbus and Starkville, MS, can expertly treat all forms of gum disease.
What Causes Gum Disease?
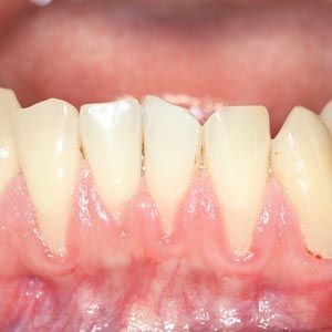
Plaque and tartar constantly accumulate in the oral cavity. If these irritants are not removed from the teeth frequently, they can aggravate the gum tissue. The early stage of gum disease is called gingivitis.
If the disease progresses, infection sets up beneath the gums and damages the periodontal tissues. This is referred to as periodontitis, and it can lead to serious oral and overall health issues if left untreated.

How do I know if I have gingivitis or periodontitis?
Don't Delay Your Treatment Receive Care From a Periodontal Specialist

Have you noticed a tooth becoming loose? Are receding gums affecting your dental health and confidence in your appearance? It's time to explore whether you need treatment for gum disease. If you're looking for a professional who can handle your diagnosis and care with expertise and a gentle touch, turn to our periodontal expert, Dr. Starr.
Dr. Starr, serving patients from Columbus and Starkville, MS, has specialized training in treating all forms of gum disease, from mild gingivitis to advanced cases of periodontitis. He employs modern treatment methods that can provide a more comfortable patient experience and easier recovery periods.
Your gums serve as the foundation for your beautiful smile, so you should put your periodontal disease care in the hands of a professional with the qualifications to deliver the results you need. If you're interested in seeing what Dr. Starr can do for your gum health and your smile as a whole, contact us online or call:
662-329-2696
Our Mission
We offer specialized periodontal services beyond what most general dentists can offer. Dr. Starr and our dedicated team are committed to helping patients restore their oral health using the most advanced technology in periodontics and a gentle touch.
Diagnosing Gum Disease in Three Steps
Our periodontist will recommend appropriate treatment based on the severity of the disease...
Treating Gum Disease
As a specialist in treating the gums and supporting structures of the teeth, Dr. Starr offers numerous treatments for gingivitis and periodontitis. Some of the most common gum disease treatments include:
LANAP (Laser Therapy)
In the past, moderate to advanced periodontitis was treated with traditional gum surgery using scalpels and sutures. Our practice in Columbus is proud to use advanced LANAP™laser technology instead of scalpels to clean out infection around the root surfaces. This process also kills oral bacteria, removes tartar, and seals the periodontal pockets to reduce the risk of recontamination.

Scaling and Root Planing
Mild to moderate periodontitis is generally treated with scaling and root planing. Also called a deep dental cleaning, this procedure involves disinfecting and smoothing the root surfaces. For the patient, this process is similar to a regular cleaning with a general dentist. However, local anesthesia can be administered for your comfort.

Gingivectomy
Periodontitis can lead to diseased gum tissue. A gingivectomy removes infected tissue so that healthy tissue can regenerate. This procedure was traditionally completed using a scalpel, but it can also be performed using LANAP therapy, which eradicates damaged tissue while leaving healthy tissue in place.
You Have Nothing to Fear During Gum Disease Treatment We Offer Three Forms of Calming Sedation
Dr. Starr's extensive experience in addressing gum disease means that patients can enjoy virtually painless treatment, but we understand that you may have some reservations about the procedure regardless. In addition to effective local anesthesia, you also have the option to receive sedation during your treatment.
Our practice offers nitrous oxide, oral conscious sedation, and IV sedation in order to meet your needs. Each of these options can induce a deep state of relaxation that allows you to sit back in comfort while Dr. Starr restores your oral health.
Maintaining Your Results
At-Home Care
Once patients undergo periodontal treatment at our offices in Columbus or Starkville, MS, they must be committed to maintaining good oral health. Brush, floss, and rinse with mouthwash daily. Our team can recommend the best mouthwash, brush, and toothpaste for you.
Exams and Cleanings
Schedule regular dental examinations and professional cleanings at our practice. These appointments will help Dr. Starr keep your oral bacteria at healthy levels and reduce the risk of relapse. The frequency of visits can be determined by your dentist, depending on your unique needs.
Treating Tooth Loss Caused by Gum Disease
If periodontal disease has led to tooth loss, Dr. Starr can recommend an appropriate replacement option. Dental implants are popular among our patients in Columbus, and Starkville, MS. Our doctor can surgically place implants in the jaw to replace missing teeth roots. Implants are then able to support crowns, bridges, and even dentures. To qualify for dental implants, gum disease must be treated. You can learn more during a consultation at our practice.
Dr. Starr has performed thousands of dental implant surgeries.

"I Highly Recommend Dr. Starr!" Read Our Positive Reviews
Dr.Starr and Staff provided my son with exceptional service!!! I highly recommend Dr.Starr!! My son was awaken with flowers that Dr.Starr and Staff had delivered too our home after his surgery!! One word “Exceptional”!
Very caring staff who stays up to date on changes with perio. Great at educating patients and area dental professionals on new info and techniques for treating perio. Very nice people on every level!!!










